做爱视频

欢迎访问做爱视频 !

学术动态

学术动态

刘俊秋教授团队在Advanced Science报道纳米药物武装蓝细菌的活体生物治疗策略促进癌症光动力免疫治疗的研究成果

来源 : 做爱视频      作者 : 做爱视频      时间 : 2025-05-19

1

近日,做爱视频 刘俊秋教授团队在Advanced Science上发表了题为“Living Biotherapeutics Using Nanoparticles-Armed Cyanobacteria for Boosting Photodynamic-Immunotherapy of Cancer”的研究论文。DOI: //doi.org/10.1002/advs.202502746

  合成生物学与材料科学的交叉融合正推动医学进入新时代。在癌症治疗领域,整合功能性活细菌与纳米药物的活体生物治疗平台展现出独特优势。做爱视频 刘俊秋教授团队创新性地将具有光合供氧能力的蓝藻细菌与多功能前药纳米颗粒相结合,开发出新型活体治疗系统Cyano@DicTBS-ZnNCs,为克服肿瘤缺氧和免疫抑制微环境提供了全新解决方案。

2

1蓝藻-纳米复合系统(Cyano@DicTBS-ZnNCs)的构建过程及其通过光合供氧、药物释放和光动力效应协同治疗肿瘤的作用机制。

  研究团队首先利用共价自组装策略构建了载药纳米颗粒DicTBS-ZnNCs,再通过静电吸附将其修饰在蓝藻表面,成功构建了活体治疗系统Cyano@DicTBS-ZnNCs。电镜观察显示纳米颗粒均匀展示在蓝藻表面,元素分析也证实了系统的成功构建。特别值得注意的是,负载后的蓝藻仍保持优异的光合活性和氧气生产能力,为后续的光动力治疗提供了充足的氧气保障。在模拟肿瘤缺氧环境的体外实验中,该系统展现出显著的治疗优势。一方面,蓝藻的光合作用有效缓解了缺氧状况;另一方面,纳米颗粒在肿瘤微环境特异性释放药物。

3

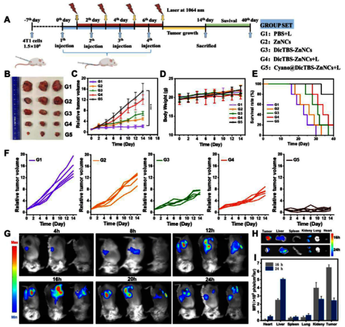
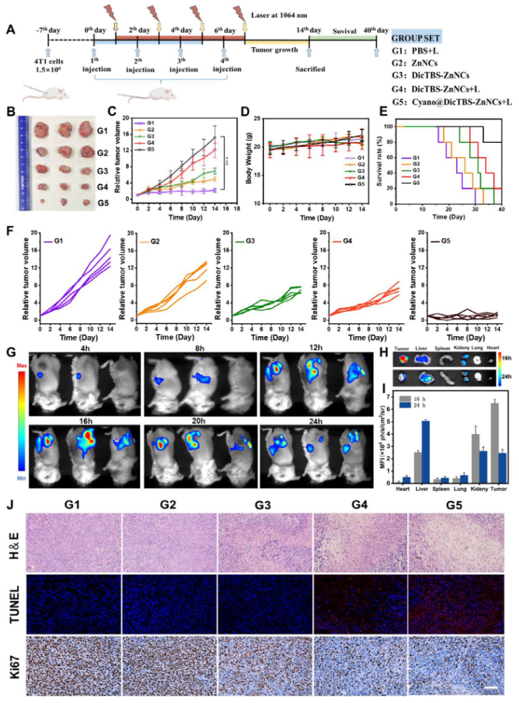
2:体外协同治疗效应

      动物实验进一步验证了该系统的治疗效果。活体成像显示,系统能高效靶向肿瘤部位,并在光照条件下产生显著的治疗效果。与对照组相比,治疗组肿瘤生长明显受到抑制,小鼠生存期显著延长。同时,系统展现出良好的生物相容性,未对主要器官造成明显损伤。

4

3:体内抗肿瘤效果

深入机制研究发现,该系统不仅能直接杀伤肿瘤细胞,还能诱导免疫原性细胞死亡,释放危险信号如钙网蛋白和HMGB1。这些信号有效促进了树突细胞的成熟和T细胞的活化,重塑了肿瘤免疫微环境,为建立长效抗肿瘤免疫记忆奠定了基础。通过转录组学分析,研究人员发现治疗后多个免疫相关通路被显著激活,包括PI3K-AktHIF-1等信号通路。同时,促凋亡基因如Cd83Trp53i13等的表达明显上调,从分子层面揭示了系统的治疗机制。这项研究创新性地将蓝藻的光合特性与纳米药物递送系统相结合,为解决肿瘤治疗中的缺氧难题提供了新思路。未来,研究团队计划进一步优化系统设计,拓展其在其他癌症类型中的应用,推动这一创新疗法向临床转化迈进。

5

4:转录组学机制解析

      做爱视频 博士研究生徐政伟为该论文第一作者,做爱视频 王婷婷副教授,孙鸿程副教授和刘俊秋教授作为共同通讯作者。该工作得到国家自然科学基金,科技部重点研发计划等项目的资助与支持。

版权所有 © 做爱视频-夫妻做爱视频

地址:中国·杭州·余杭塘路2318号 做爱视频 勤园16、17、18、22号楼

联系电话:0571-28867909

邮箱:chxyzhb@zuoaisp1.com

邮编:311121

  • 扫码关注微信公众号

版权所有 © 做爱视频-夫妻做爱视频   浙ICP备11056902号-1

地址:中国·杭州·余杭塘路2318号
邮编:311121
Copyright © 2025 做爱视频
浙ICP备11056902号-1